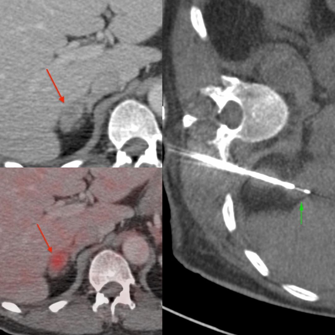
A 70-years old man treated for carcinoma tongue came with a rib mass. The PET/CT also showed a right adrenal nodule and he came for biopsies of both lesions.
The right adrenal nodule measured 14 x 9 mm in diameter. Since the lung and pleura would be in the way, in the prone position, the ipsilateral decubitus position was chosen, which splints the diaphragm and allows good access as well.
As seen here, it was easy to find a path along the para-vertebral region, just superior to the upper pole of the kidney using a 20G coaxial biopsy gun.
The diagnosis was metastasis, consistent with a squamous cell tongue primary.







