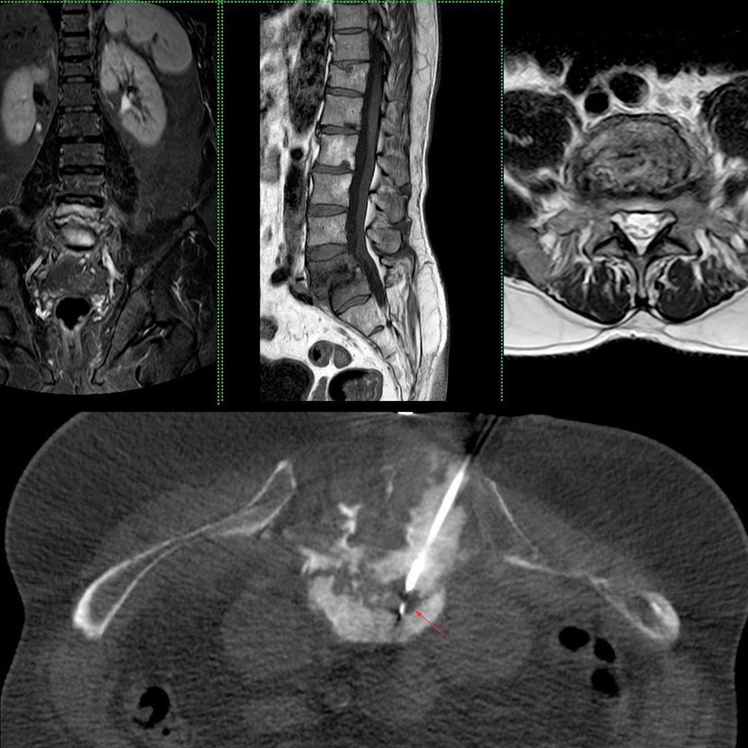
This is a 60-years old man with backache. MRI showed infectious spondylitis at L5/S1. The presumptive diagnosis was tuberculosis.
Instead of starting anti-TB treatment, which is often the norm, the patient was sent for a CT guided biopsy to confirm the diagnosis and to obtain material for culture, sensitivity, etc.
The biopsy was performed using an 18G core biopsy needle introduced through an 11G bone biopsy needle under sedation using an oblique transpedicular route into the disc and end-plate. Acinetobactor was cultured and the patient was treated with appropriate antibiotics.
#CTbiopsy #spineinfection #acinetobacter #infectiousspondylitis







