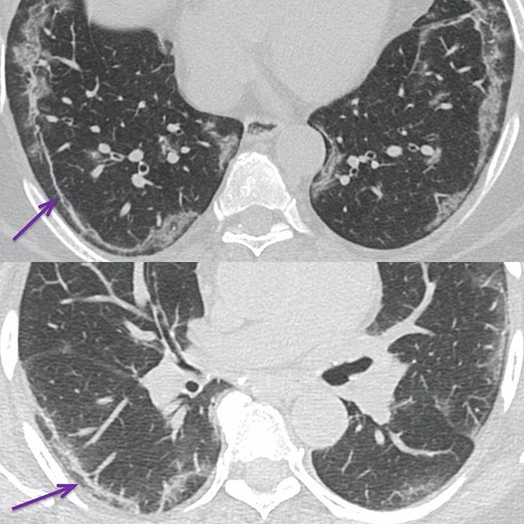
Many patients show thin or thick curvilinear bands (purple arrows) usually in the lower lobes in the posterior and lateral basal segments. It is not clear what they represent. Some say that they are due to resolving pneumonia, but we have seen these bands at first presentation as well. Others believe they are due to sub-segmental atelectasis, because of their location and yet some others believe they represent fibrosis, though we have seen these bands resolve as well.
Perhaps they are a combination of multiple things – partly resolving pneumonia with an element of sub-segmental atelectasis and perhaps an element of fibrosis in some patients.







