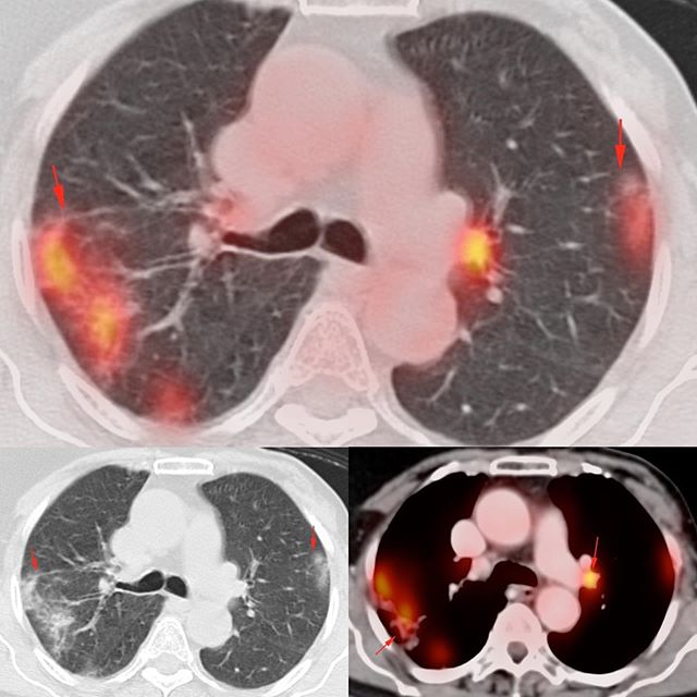
This 59-years old lady came for a follow-up PET/CT for Ca breast evaluation. She had no respiratory symptoms.
The lung shows typical findings of COVID-19 with uptake on the PET. Almost all patients with incidental COVID-19 show some level of activity, which likely lasts for some time, even after the RT-PCR becomes negative. In these patients, we never really know at what stage of the disease they are when we pick up these findings on PET. Some are tested, some not, some are RT-PCR positive, some not.
Almost all of them also have small active nodes, as we see in the left hilum in this patient.
We have to be careful, especially with less typical patterns, of not confusing COVID-19 with chemotherapy related lung injury.







