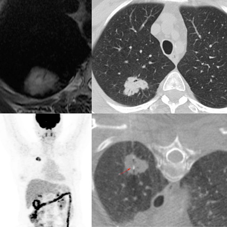
This is a 56-years old lady treated for carcinoma breast, who landed up from abroad with an MRI showing a focal lung lesion. The CT scan showed a lesion with findings that were typical of adenocarcinoma with air bronchiolograms and spiculated margins. The PET showed just this one lesion.
The question then was; is this metastasis from Ca breast or a second primary lung neoplasm.
The biopsy was easy using a 20G coaxial biopsy gun. The diagnosis was adenocarcinoma, but consistent with metastasis from Ca breast, ER +ve, PR -ve and a HER 2 NEU score of 2.







